Image
Home » IHC Antibodies » TRPS1 (PL-15)

TRPS1 (PL-15)

TRPS1 (PL-15)

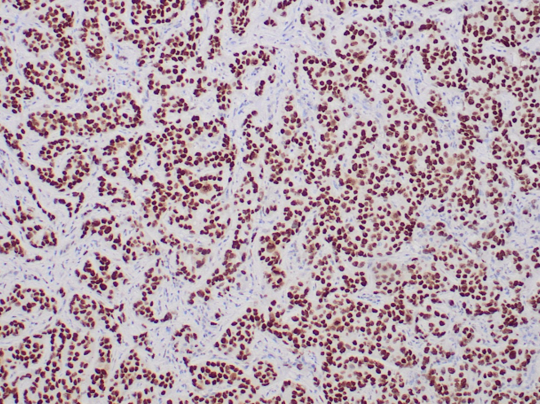
TRPS1, named for its association with the autosomal dominant genetic disorder TRPS1, has been found to be a critical modulator in mesenchymal-to-epithelial transition during the development and differentiation of several types of tissue, including cartilage, bone, kidney, and hair follicle. Recently, TRPS1 was identified as a novel GATA transcriptional factor, functioning as an essential regulator for the growth and differentiation of normal mammary epithelial cells and possibly involved in the development of breast cancer.
STAINING PATTERN : Nucleus
POSITIVE CONTROL : Normal breast or breast carcinoma
CLONE : PL-15
VOLUME :
PL2039-R7           7 ML RTU 70 TEST
PL2039-R1           1 ML RTU 10 TEST
PL2039-1              1 ML 1/100 1000 TEST
PL2039-0,1        0,1 ML 1/100 100 TEST