patolab@patolab.com.tr
+90 212 438 56 26
+90 212 438 56 27
Alfabetik Sıra
Martiyus Skarlet Mavisi boyama kiti
Masson Trikrom boyama Kiti
Musikarmin boyama kiti
May Grunwald
Mayer Hematoksilen
MAYER HEMATOKSİLEN
Mammaglobin (304-1A5)
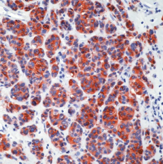
MART-1 MELAN A (A103)
Mast Cell Tryptase (G3)
MDM2 (SMP14)
MELANOMA (HMB45)
MESOTHELIOMA (HBME-1)
MLH1 (ZR347)
MSH 2 (25D12)
MSH 6 (EPR3945)
MUC-1 (ZM32)
MUC-2 (Ccp58)
MUC-4 (PL-4)
MUC-5AC (ZM148)
MUC-6 (ZM89)
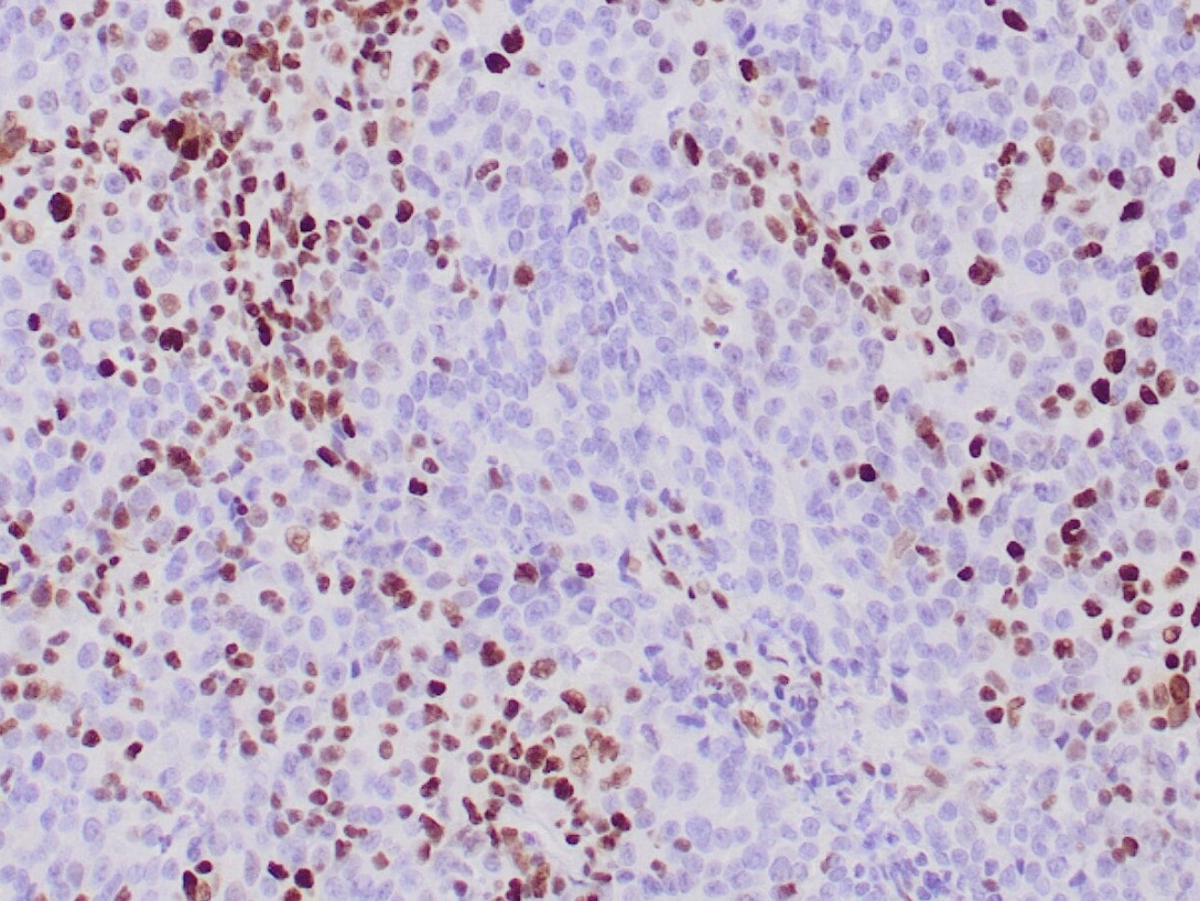
MUM1 (EP190)
Muscle Specific Actin (HHF35)
Myeloperoxidase (polyclonal)
MyoD1 (PL-6)
MYOGENIN (F5D)
MYOGLOBİN (ZR69)