patolab@patolab.com.tr
+90 212 438 56 26
+90 212 438 56 27
Alfabetik Sıra
Toludin Mavisi boyama kiti
TBS (25X)
TBS TWEEN 20 (20X)
TRİPSİN ENZİMİ
TWEEN 20
Toludin Mavisi
TAG72 (B72.3)
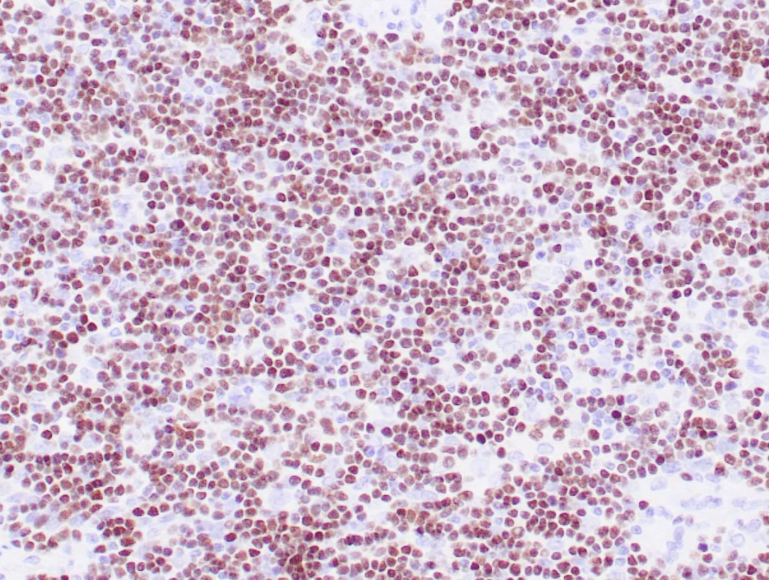
TDT (SEN28)
TFE3 (ZR383)
THYROGLOBULIN (2H11 & 6E1)
TLE1 (ZM93)
TRPS1 (PL-15)
TSH (TSH01 + TSH02)
TTF-1 (8G7G3/1)