Image

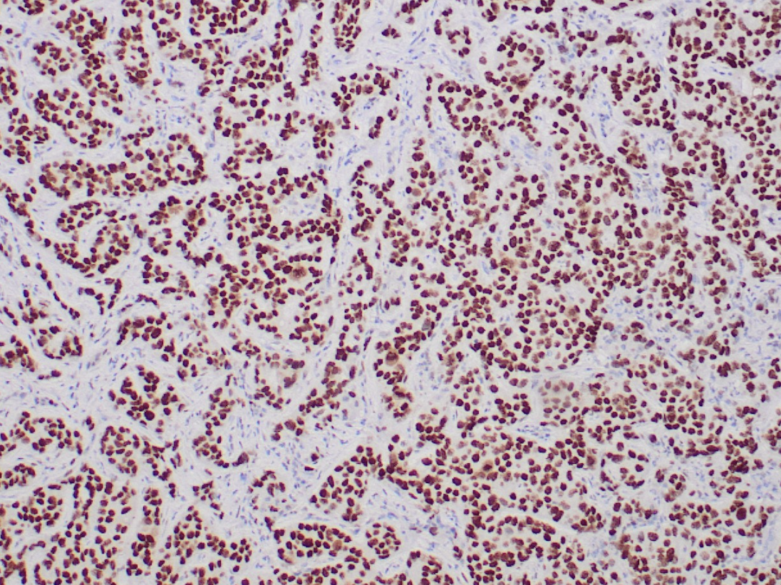
TRPS1 (PL-15)

TRPS1 (PL-15)

Otozomal dominant genetik bozukluk TRPS1 ile olan ilişkisi nedeniyle TRPS1 olarak adlandırılan bu proteinin, kıkırdak, kemik, böbrek ve saç folikülü de dahil olmak üzere çeşitli doku tiplerinin gelişimi ve farklılaşması sırasında mezenkimalden epitelyal geçişte kritik bir modülatör olduğu bulunmuştur. Son zamanlarda TRPS1, normal meme epitelyal hücrelerinin büyümesi ve farklılaşması için temel bir düzenleyici olarak işlev gören ve muhtemelen meme kanseri gelişiminde rol oynayan yeni bir GATA transkripsiyon faktörü olarak tanımlanmıştır.

BOYANMASI GEREKEN ALAN : Çekirdek
POZİTİF KONTROL : Normal meme veya meme kanseri
KLON : PL-15
AMBALAJ :
PL2039-R7         7 ML KULLANIMA HAZIR 70 TEST
PL2039-R1         1 ML KULLANIMA HAZIR 10 TEST
PL2039-1            1 ML KONS. 1/100 1000 TEST
PL2039-0,1      0,1 ML KONS. 1/100 100 TEST