Image

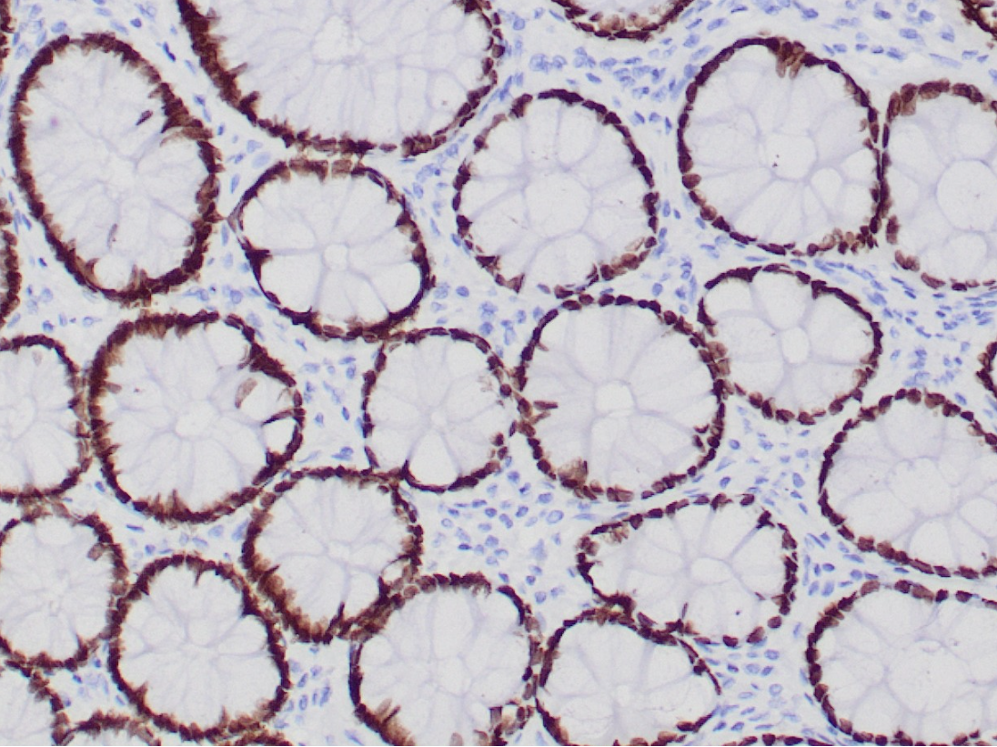
SATB2 (PL-12)

SATB2 (PL-12)

SATB2, özellikle nükleer matriks bağlanma bölgelerine bağlanan bir DNA bağlayıcı proteindir. Transkripsiyon düzenlemesi ve kromatin yeniden şekillenmesinde rol oynar. Kolorektal karsinomalarda (CRC) SATB2 ekspresyonu iyi bir prognozla ilişkilidir. Laringeal skuamöz hücreli karsinomda, tümör baskılayıcı olarak işlev görür ve ekspresyon kaybı yüksek tümör derecesi ve nüks ile pozitif olarak ilişkilidir.

BOYANMASI GEREKEN ALAN : Nükleer
POZİTİF KONTROL : Kolon / Kolon Kanseri
KLON : PL-12
AMBALAJ :
PL2037-R7         7 ML KULLANIMA HAZIR 70 TEST
PL2037-R1         1 ML KULLANIMA HAZIR 10 TEST
PL2037-1            1 ML KONS. 1/100 1000 TEST
PL2037-0,1      0,1 ML KONS. 1/100 100 TEST