Image

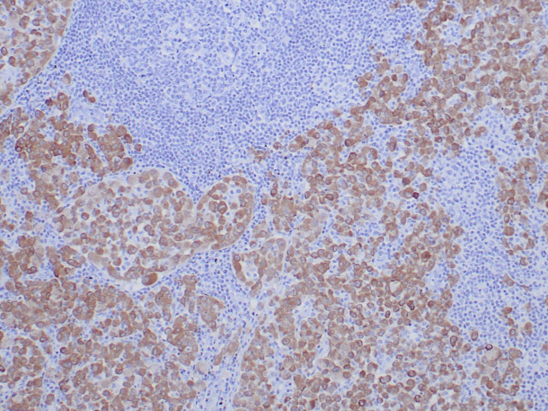
ROS1 (PL-21)

ROS1 (PL-21)

ROS1, insülin reseptör ailesinin yetim bir reseptör tirozin kinazı olup, başlangıçta UR2 sarkoma virüsünden v-Ros'un bir homologu olarak tanımlanmıştır. ROS1, dokuz fibronectin tekrarından oluşan büyük bir hücre dışı alan, bir transmembran alan ve bir hücre içi kinaz alanından oluşur. ROS1'in işlevi tanımlanmamış olsa da, epididimal epitelin farklılaşmasında önemli bir rol oynadığı gösterilmiştir.

BOYANMASI GEREKEN ALAN : Hücre Yüzeyi
POZİTİF KONTROL : İnsan beyni, akciğer adenokarsinomu veya primer glioblastoma
KLON : PL-21
AMBALAJ :
PL2038-R7        7 ML KULLANIMA HAZIR 70 TEST
PL2038-R1        1 ML KULLANIMA HAZIR 10 TEST
PL2038-1           1 ML KONS. 1/100 1000 TEST
PL2038-0,1     0,1 ML KONS. 1/100 100 TEST