Image

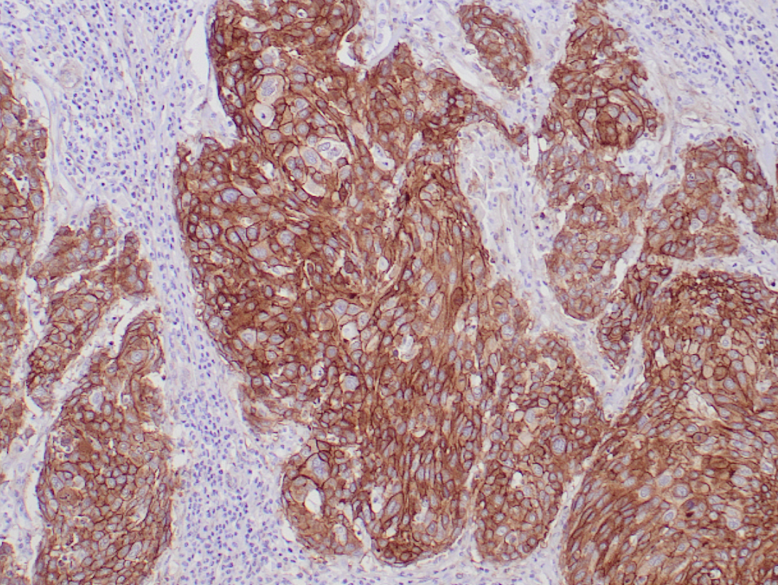
EGFR (PL-17)

EGFR (PL-17)

Bu antikor, EGFR olarak tanımlanan 170 kDa'lık bir proteini tanır. EGFR, erbB-1, -2, -3 -4 veya HER-1, -2, -3 -4 ile sekans homolojisine sahip tip I reseptör tirozin kinazdır. Epidermal Büyüme Faktörü (EGF), Dönüştürücü Büyüme Faktörü (TGF-α), Heparin bağlayıcı EGF (HB-EGF), amfiregulin, betasellülin ve epiregulin'e bağlanır. EGFR, meme, beyin, mesane, akciğer, mide, baş ve boyun, özofagus, serviks, vulva, yumurtalık ve endometriyum tümörlerinde aşırı ifade edilir. Ağırlıklı olarak skuamöz hücreli karsinomalarda bulunur.

BOYANMASI GEREKEN ALAN : Membran
POZİTİF KONTROL : Akciğer adenokarsinomu
KLON : PL-17
AMBALAJ :
PL2041-R7       7 ML KULLANIMA HAZIR 70 TEST
PL2041-R1       1 ML KULLANIMA HAZIR 10 TEST
PL2041-1          1 ML KONS. 1/100 1000 TEST
PL2041-0,1    0,1 ML KONS. 1/100 100 TEST