Image

NKX2.2 (PL-22)

NKX2.2 (PL-22)

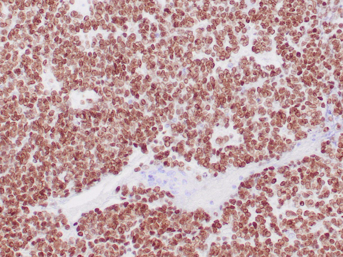
NKX2.2 ifadesinin bağırsak nöroendokrin tümörlerinde bulunduğu tespit edilmiş olup, bu da onu gastrointestinal nöroendokrin tümörlerin incelenmesi için potansiyel bir belirteç haline getirmektedir. Daha yakın zamanlarda, NKX2.2 proteini, Ewing sarkomuna özgü füzyon proteini olan EWS-FLI-1'in bir hedefi olarak tanımlanmış ve dizi tabanlı gen ekspresyon analizi temelinde Ewing sarkomunda farklı şekilde yukarı regüle edildiği gösterilmiştir. %93 duyarlılık ve %89 özgüllük ile Ewing sarkomu için değerli bir belirteç görevi görür ve küçük yuvarlak hücreli tümörlerin ayırıcı tanısında yardımcı olur.

BOYANMASI GEREKEN ALAN : Çekirdek
POZİTİF KONTROL : Ewing sarkomu
KLON : PL-22
AMBALAJ :
PL2042-R7           7 ML KULLANIMA HAZIR 70 TEST
PL2042-R1           1 ML KULLANIMA HAZIR 10 TEST
PL2042-1              1 ML KONS. 1/100 1000 TEST
PL2042-0,1        0,1 ML KONS. 1/100 100 TEST