Image

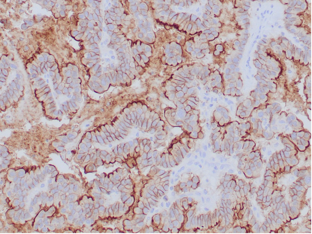
CLAUDIN 18.2 (PL-18)

CLAUDIN 18.2 (PL-18)

İnsanlarda claudin süper ailesi, yapısal olarak birbirine benzeyen birçok proteinden oluşur. Bu proteinler, paraselüler taşımada sıkı bağlantıların önemli yapısal ve işlevsel bileşenleridir. Claudinler, tüm sıkı bağlantı içeren dokulardaki epitel ve endotel hücrelerinde bulunur. Claudinler, oklüzyon molekülleri ve bağlantı yapışma molekülleri de dahil olmak üzere, sıkı bağlantılara yerleştiği bilinen üç protein sınıfı vardır. Dört transmembran alan ve iki ekstraselüler halkadan oluşan claudinler, sıkı bağlantı ipliklerini oluşturur. Claudin ifadesi genellikle farklı dokuların belirli bölgeleriyle sınırlıdır ve sıkı bağlantılar yoluyla transselüler taşımada önemli bir rol oynayabilir.

BOYANMASI GEREKEN ALAN : Membran
POZİTİF KONTROL : Karsinom
KLON : PL-18
AMBALAJ :
PL2043-R7         7 ML KULLANIMA HAZIR 70 TEST
PL2043-R1         1 ML KULLANIMA HAZIR 10 TEST
PL2043-1            1 ML KONS. 1/100 1000 TEST
PL2043-0,1      0,1 ML KONS. 1/100 100 TEST