Image

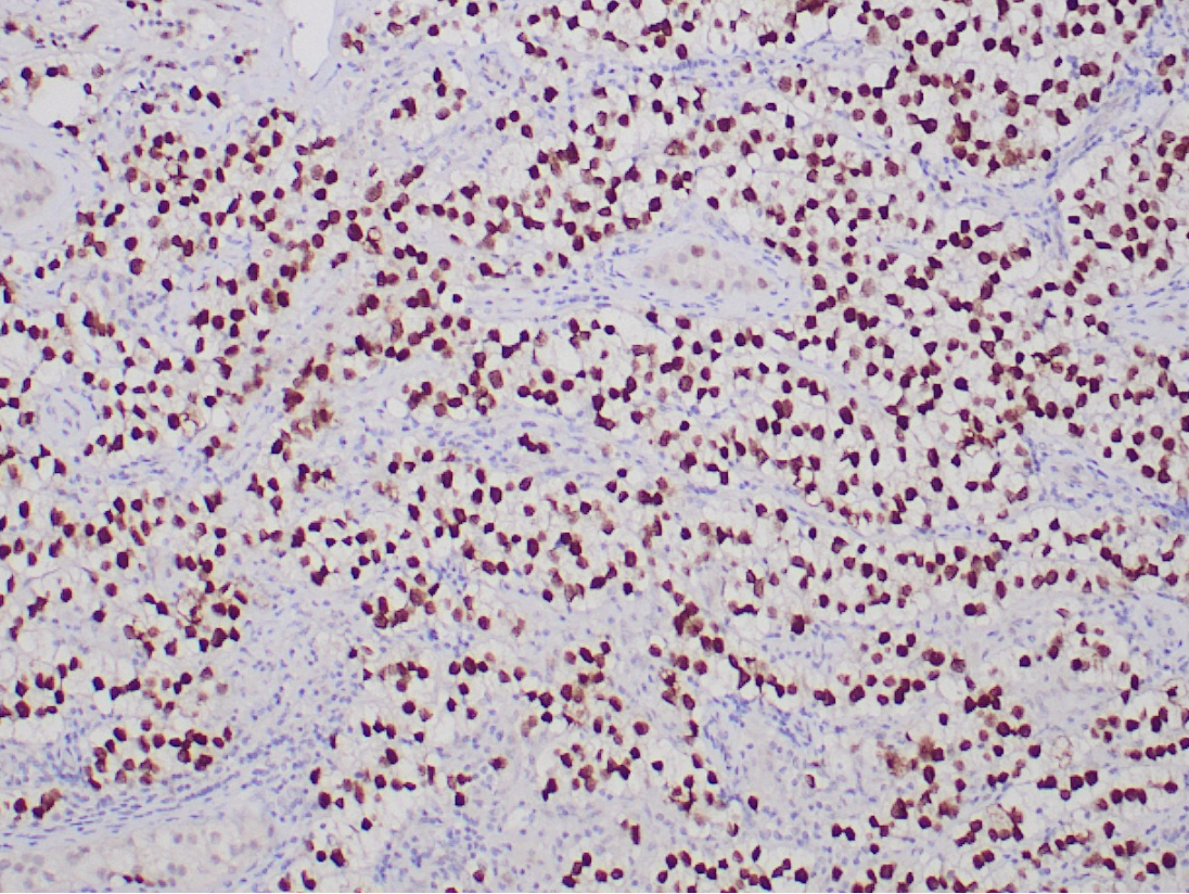
SALL4 (PL-24)

SALL4 (PL-24)

Sall3 (SALL3, sal benzeri 3) ve Sall4 (SALL4, sal benzeri 4), Drosophila'nın bölgeye özgü homeotik geni spalt'ın memeli homologlarıdır ve çinko parmak içeren bir transkripsiyon düzenleyicisini kodlar. Drosophila spalt, gövdenin aksine arka baş ve ön kuyruğun belirlenmesi için gerekli olan temel bir genetik bileşendir. Sall3, gebeliğin 24. haftasında insan fetüs beyninin çeşitli bölgelerinde ifade edilir; bunlar arasında hipokampus oluşumu ve mediodorsal ve ventrolateral talamik çekirdeklerin nöronları, serebellumun Purkinje hücreleri ve beyin sapındaki nöronların bir alt kümesi bulunur. Erken fare embriyolarında Sall4 ifadesi, yavaş yavaş baş bölgesine ve ilkel çizgiye sınırlanır, ardından gelişmekte olan orta beyin, solungaç kemerleri, uzuvlar ve genital papillada belirgin bir ifade görülür.

BOYANMASI GEREKEN ALAN : Çekirdek
POZİTİF KONTROL : Seminom
KLON : PL-23
AMBALAJ :
PL2047-R7        7 ML KULLANIMA HAZIR 70 TEST
PL2047-R1        1 ML KULLANIMA HAZIR 10 TEST
PL2047-1           1 ML KONS. 1/100 1000 TEST
PL2047-0,1     0,1 ML KONS. 1/100 100 TEST